Accessible Version
Doylestown Dental Group
A Great Dentist

Prosthodontic Specialists
in Esthetic and Implant Dentistry

get to know our team

Smile Gallery

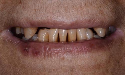
Our experience and training allow us to create restorations and smile makeovers that are truly transformative. You can always expect an outcome that goes above and beyond your expectations at Doylestown Dental Group

We invite you to take a moment to browse through our Smile Gallery and see the dramatic results we have achieved for many of our patients. After viewing these pages, give our Doylestown Dental office a phone call to learn more and book your next dental appointment!

 

Getting an appointment is fast and easy!
Thank You For My Beautiful Teeth

"Thank you for my six beautiful teeth. For the first time in my long life, I have six pretty teeth. You cannot possibly imagine how delighted I am with the all-porcelain crowns in front, a thanks again to you. My total experience throughout the procedure for crowns was the best that it could possibly have been because of your expertise and therefore my good fortune."

Clara D.

If you have difficulty using our website, please email us or call us at (215) 345-1155
View the ADA Accessibility Statement
Privacy Policy